banner prosthetic teeth

preloader icon

Προσθετική Δοντιών

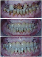
Η προσθετική δοντιών περιλαμβάνει μια πληθώρα οδοντιατρικών αποκαταστάσεων που έχουν σαν στόχο να αναπληρώσουν ελλείποντα δόντια και να αποκαταστήσουν αισθητικά και λειτουργικά τους ασθενείς μας.

Τα δόντια με την πάροδο των χρόνων χάνουν το σχήμα τους και γίνονται πιο επίπεδα ενώ συσσωρεύουν ρωγμές. Επίσης η αδαμαντίνη λεπταίνει και το χρώμα της οδοντίνης -που είναι πιο κίτρινο -επικρατεί. Αυτός είναι ο λόγος που τα δόντια κιτρινίζουν με τα χρόνια, συν φυσικά και το γεγονός ότι συσσωρεύουν χρωστικές από καφέδες, αναψυκτικά, τροφές ή χρήση καπνού. Τα φυσικά δόντια έχουν διαφάνειες και αντανακλούν το φως με ιδιαίτερο τρόπο, δεν είναι αδιαφανή ενώ έχουν λεία και στιλπνή υφή.

Τα νεανικά δόντια έχουν τα εξής χαρακτηριστικά

  1. Δεν παρουσιάζουν φθορές
  2. είναι πιο άσπρα
  3. Έχουν διαφάνειες
  4. είναι λεία και στιλπνά
ΣΤΕΦΑΝΕΣ (ΘΗΚΕΣ):
ΕΝΘΕΤΑ – ΕΠΕΝΘΕΤΑ
ΓΕΦΥΡΕΣ
ΜΕΡΙΚΕΣ ΟΔΟΝΤΟΣΤΟΙΧΙΕΣ
ΟΛΙΚΕΣ ΟΔΟΝΤΟΣΤΟΙΧΙΕΣ